
Vincent Luce (center, white jersey) is thankful for the great care he received from Drs. Chris Liebig and Patrick Riley, Jr., after a Jones fracture sidelined him for most of his senior football season.
Vincent Luce was looking forward to his senior football season — something he’d dreamed about since freshman year. He spent the months leading up to it working hard in the gym, conditioning with 2 personal trainers and spending grueling days on the field with his team to get in his best shape and prepare for a great season.
Unfortunately for Vincent, his dream didn’t go as planned. During the third play of Canfield High School’s season opener, Vincent was pulling around the center to deliver a block and felt a pop when he planted his foot. Hoping it would work itself out, he played through it to help lead his team to victory.
“But as the game went on, my foot was hurting more and more,” he said. “I knew something was up. I was able to walk, but it hurt a lot.”
After the game and throughout the weekend, Vincent and his parents were in touch with Stephanie Saverko, MHHS, AT, Akron Children’s athletic trainer for Canfield High School, and Christopher Liebig, MD, Canfield’s team doctor and medical director of Sports Medicine at Akron Children’s Mahoning Valley. To rule out a fracture, Dr. Liebig set up an appointment for Vincent that Monday with Akron Children’s Sports Medicine, Boardman.

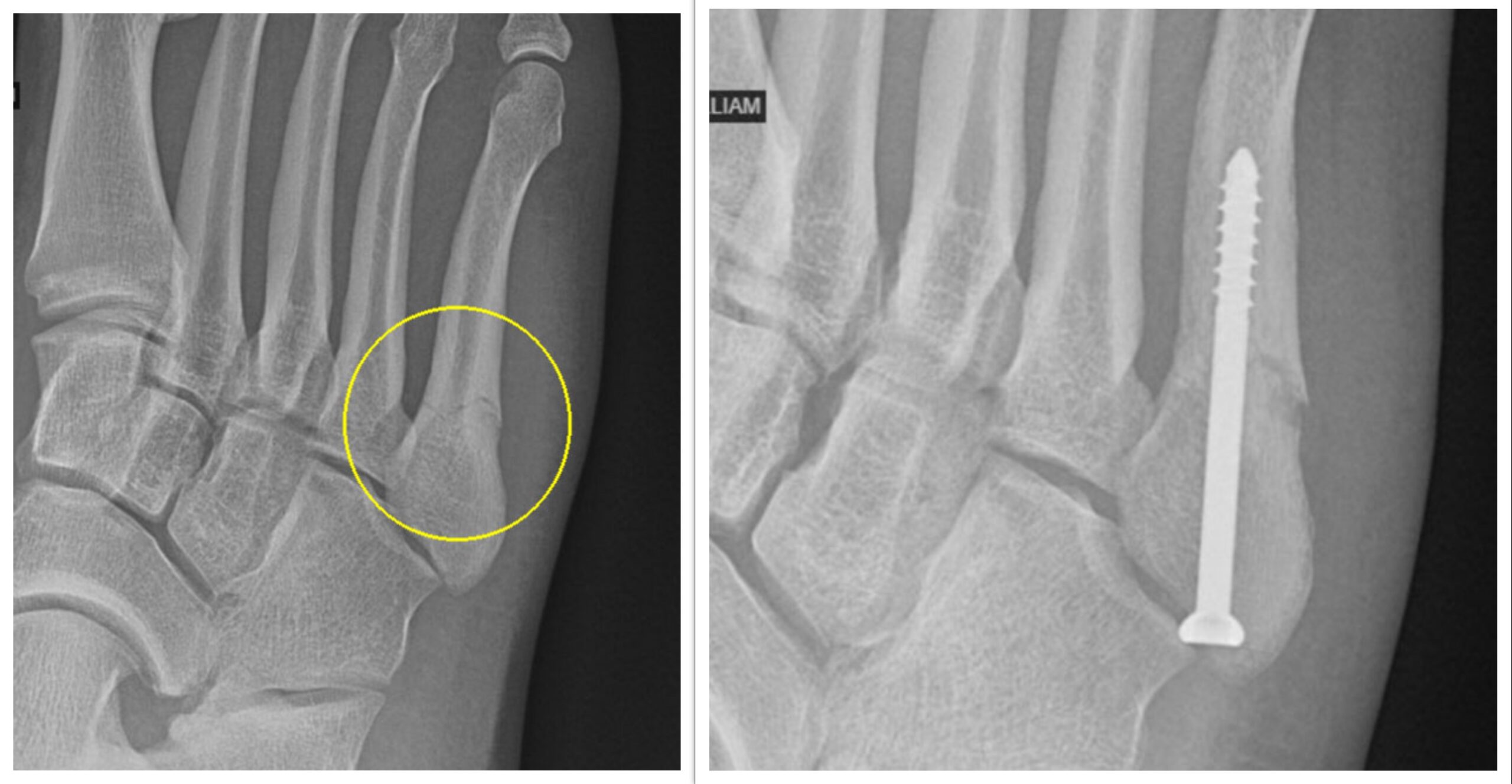
Before-and-after X-rays: The first X-ray shows the break on the outside of Vincent’s foot, and the second was taken 2 weeks after surgery. Dr. Riley surgically placed a screw in the bone to relieve pain, increase stability in the fracture and promote healing.
Unfortunately, the X-Ray results came back with a diagnosis everyone feared, but hoped wasn’t the case. Vincent fractured his fifth metatarsal, the long bone on the outside of the foot that connects to the small toe. Vincent had 2 treatment options: He could wait it out and see how it heals, or undergo surgery.
“Luce had an unfortunate fracture on the side of his foot known as a Jones fracture,” explained Dr. Liebig. “Unfortunately, with these types of fractures, healing can not only be slow and take up to 12 weeks, but sometimes, not occur at all due to poor blood supply. With the timing of the injury and his goals of playing this season and in the future, we felt surgery was the best option.”
Dr. Liebig referred Vincent to Patrick Riley, Jr., MD, Akron Children’s pediatric orthopedic surgeon and sports medicine physician. The very next day on Tuesday, Vincent underwent outpatient surgery. Dr. Riley put a 2-inch screw in the middle of the bone to relieve pain, increase stability of the fracture and promote healing to get him back on the field in 6 to 8 weeks.
“We’re thankful for Dr. Riley and his great care of Vincent — all just minutes from our home,” said his mom, Stacey. “I’d also like to give a shout out to the nurses that helped ease Vincent’s mind before surgery. Vincent had never had surgery before and was so nervous, but they made him laugh and feel more comfortable. They treated him like a kid — because he is a kid — even though he’s a 6-foot-3, 280-pound lineman, bigger than most adults!”

Vincent is thankful for Canfield team doctor, Chris Liebig, MD, for getting him back in the game after suffering a Jones fracture during his first game of his senior football season.
After surgery, Vincent spent 2 weeks immobilized in a cast and then began physical therapy in a walking boot with Stephanie. The rehab focused on simple motion until bone healing was seen. Then, Vincent could gradually weight-bear over the course of the next few weeks to build back strength he’d need as a starting lineman until there was no pain and full healing was visualized.
“Luce showed an enormous amount of grit and determination in performing his physical therapy activities on his own and with the help of our athletic trainer, Stephanie,” said Dr. Liebig. “He showed true leadership on and off the field.”
About seven weeks from surgery, Vincent was cleared to play and was back in the game for week 8. His first game back: senior night. He was ecstatic he got to play in the last game of his senior season, and later in the team’s 2 playoff games.
“Words can’t describe how happy I was to be back,” said Vincent. “The mental aspect of the injury was the hardest part. I was frustrated sitting on the sidelines and played the what-if game. I always dreamed about my senior season and worked hard for it, and to have it all go away in 3 plays was tough.”

Vincent Luce, pictured with his parents and sister, was thrilled to return to the field for senior night.
Vincent is thankful for his support system. Dr. Liebig and Stephanie walked him through each stage of recovery and sent progress reports to his parents every week. They were supportive and whenever he felt like getting aggressive with recovery, they educated him on the importance of taking his time and letting the injury heal. He also credits his family for keeping him sane throughout this difficult journey.
“With my senior football season behind me, I’m focused on wrestling and I’m happy to report I’ve had no issues with my foot,” said Vincent. “I’m committed to play football at Robert Morris University, and I’m excited to put the injury behind me and move forward.”
Learn more about Akron Children’s Sports Medicine Center. You can schedule an appointment online, in MyChart or by calling 330-543-2778.







